

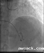
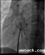
冠状动脉介入治疗:经桡动脉路径,疏通狭窄甚至闭塞的冠状动脉管腔,从而改善心肌的血流灌注。

三维标测下心内电生理检查及射频消融术:在立体三维的空间中进行射频消融治疗,主要治疗阵发性室上性
心动过速、室速、室早。


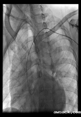
人工心脏起搏器植入术 ICD(植入式除颤复律仪) CRT(心脏再同步治疗)
人工心脏起搏器植入术:用特定频率的脉冲电流,经过导线和电极刺激心脏,代替心脏的起搏点带动心脏搏动的治疗方法,主要治疗重症慢性心律失常。


房间隔缺损封堵术:采用经股静脉穿刺的方法,将封堵伞送入心房,补贴固定在房间隔缺损处,阻断房水平左向右分流,恢复正常血液循环途径。

主动脉夹层腹膜支架植入术:经股动脉路径,送入腹膜支架,让夹层血管恢复正常通畅。


肥厚型梗阻性心肌病室间隔化学消融术:经皮室间隔心肌消融,缓解左室流出道梗阻。
心衰超滤脱水装置: 针对充血性心力衰竭患者,实现机械性利水利钠,从而达到治疗心衰的目的。
IABP(主动脉内球囊反搏):可降低主动脉阻抗,增加主动脉舒张压,而降低心肌耗氧,增加氧供,达到改善心功能的目的。
远程心电网络监控系统:构建了区域性远程心电网络会诊平台,让患者“随时、随地、就近、从快”接受心电图检查,为心血管疾病患者赢得最佳的抢救和治疗时间。
