什么是冠脉CTA:
冠脉CTA是经静脉注射造影剂后利用螺旋CT扫描再经过计算机处理重建得出的心脏冠状动脉成像的一种检查方法。
主要适应症:
(1)冠心病可疑者、判断其冠状动脉形态,有无狭窄及狭窄程度。
(2)冠状动脉先天性变异。
(3)有无冠状动脉肌桥形成以及程度与范围等。
(4)冠状动脉支架植入术后通畅性及有无再狭窄等判断。
(5)冠脉搭桥术后桥血管通畅的评价。
(6)冠脉钙化斑块、软斑块和混合斑块的鉴别。
优势
最新引进的重庆首台超高端GE Revolution CT,可进行无限制1-Beat1-Stop心脏成像,采用低剂量扫描,在任何心率和心律条件下,一次对比剂注射、一个心动周期内就可以获得心脏的冠脉解剖信息、斑块成分信息、心脏4D运动信息、心功能信息和心肌灌注信息,整个检查过程仅需0.28秒时间,为广大健康体检者及冠心病患者保驾护航。

右冠状动脉开口于左冠状窦,系发育变异

左冠脉钙化斑块及软斑块,管腔中度狭窄

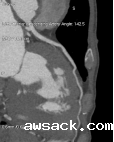
左冠脉前降支软斑块,管腔重度狭窄




左冠脉前降支远段非钙化斑块形成,管腔中度狭窄;右冠状动脉近段非钙化斑块形成,致管腔节段性轻度狭窄

冠脉支架置入术后,管腔通畅

冠脉搭桥术后,桥血管通畅