江南院区

科普知识

百草枯中毒

发布日期:2021-04-23    作者:     来源:     点击:
分享到:
分享到微信朋友圈
X

要问重症医学科医生,执业生涯中对救治什么中毒印象最深刻,相信绝大部分人的回答肯定是---“百草枯中毒”。

百草枯到底为何物?是什么原因让我们的医生对它如此后怕,今天就让我们一起来了解一下。

 

 

 

百草枯(paraquat,PQ)商品名一扫光、克芜踪等,是一种高效能的非选择性接触型除草剂,喷洒后起效迅速,进入土壤后迅速失活,在土壤中无残留。我国目前市售多为20%的溶液,纯品为白色结晶,市售溶液加入着色剂呈蓝色。百草枯易溶于水,可以经消化道、皮肤和呼吸道吸收,致死病例主要为自服或误服,成人致死量为20%水溶液5~15mL(20~40mg/kg)左右。

 

 

  

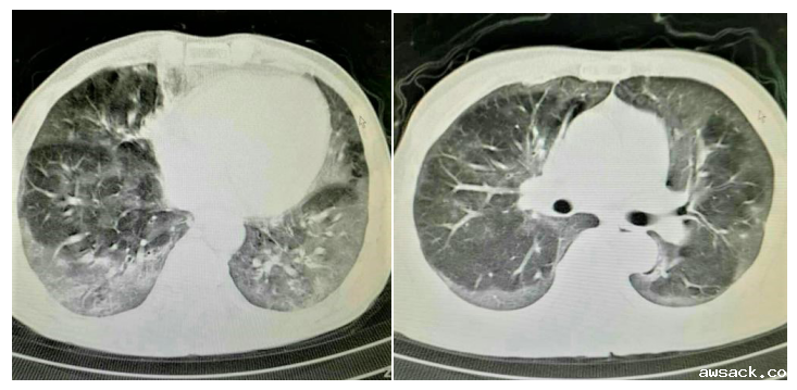
百草枯为何如此可怕?因为一旦中毒,留给您的只有后悔的时间,却鲜有存活的机会。百草枯毒性累及全身多个脏器,严重时可导致多器官功能不全综合征(MODS),其中肺是主要靶器官,可导致“百草枯肺”,早期表现为急性肺损伤(ALI)或急性呼吸窘迫综合征(ARDS),后期则出现肺泡内和肺间质纤维化,是百草枯中毒患者致死的主要原因,病死率高达50%~70%。

 

 

百草枯肺

在儿童重症医学科,误服百草枯的多为幼儿和学龄前儿童。部分学龄期、青春期患儿,因为和父母吵架置气,抑或早恋,一时糊涂就自服了百草枯。早期喝下百草枯的患儿,身体不会有任何不适,甚至有些孩子觉得没有效果还会喝第二次、第三次…。百草枯中毒早期表现为化学性口腔炎、上消化道腐蚀性溃疡、肝肾损害,转而出现进行性肺部损伤,肺组织纤维化,最后因呼吸衰竭而活活“憋死”,生命永远定格在了如花的年纪,可谓教训惨痛。 

目前急性百草枯中毒尚无特效解毒剂,很多救治措施尚处于探索研究阶段。百草枯中毒的治疗主要是催吐、洗胃、导泻及其血液净化等综合治疗。血液净化俗称“换血”,虽然费用昂贵,但却有立竿见影之效,拜托大家一定要谨遵医嘱。但对于太多太多的百草枯中毒患儿,即使经过全体医护的积极救治,人财两空的事件还是屡见不鲜。看着鲜活的生命慢慢枯萎,医生无能为力,家属痛心疾首,只能感叹生命的脆弱,百草枯的无情。

 

 

百草枯中毒重在预防。家庭百草枯溶液应加强保管,避免儿童误服和高危人群接触。关注儿童的心理状况,良好的家庭氛围也是减少儿童自服的关键。若明确接触了百草枯,建议立即就近就医,切不可因为暂时没有症状而延误时机。记住,百草枯中毒6小时内处理可明显降低死亡率。

 

 

 

 

Baidu
Betway·必威(西汉姆联)唯一官方网站