一名25岁男子出现进行性不断加重的气促伴发热等症状。


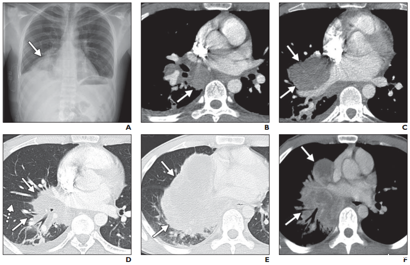
A图:
首次就诊的胸部X射线显示右侧肺门影增粗(箭头)。同时存在轻至中度右侧胸腔积液。
B-D图:
增强CT软组织窗(B和C)和肺窗(D)显示右下肺门肿块(实线箭头,B-D图),跨裂隙向右中叶和下叶扩展(虚线箭头,D图)。同时可见隆突下淋巴结肿大。
E图:
2周后再次行胸部CT:右侧肺门病灶及纵隔淋巴结体积较前显著增大(实性箭头),肿块现在占据右侧中叶和下叶的大部分区域。
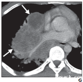
F-G图:
增强CT软组织窗下可见肿块明显增强及肿块内部中心坏死(实性箭头,F图)。肺动脉、静脉和右下叶支气管受肿块压迫,显示出严重狭窄(实性箭头,G)。所有这些特征均表明这是一种非常具有侵袭性的肿瘤,具有较高的增殖速率。经肺活检确认为NUT癌后,患者接受了两次卡铂和紫杉醇的化疗。但患者后期失去联系。
病例来源:
Bair RJ, Chick JF, Chauhan NR, French C, Madan R. Demystifying NUT midline carcinoma: radiologic and pathologic correlations of an aggressive malignancy. AJR Am J Roentgenol. 2014 Oct;203(4):W391-9. doi: 10.2214/AJR.13.12401. PMID: 25247968.(内容主要来源于原文献内容)